Clinic Timings

11.00 am to 2.00 pm,
6.00 pm to 8.00 pm

feel free to call

+91 9403937760.

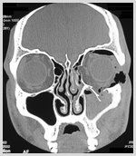
Orbital fracture

Trauma in and around the eye can cause fracture of the orbit .Surgery to repair the fracture is carried out as early as possible to prevent permanent damage..Orbital eye fracture is the repair of the fracture that involves orbital bones around the eye. In such fractures, the rim and the bones linking the inside of the orbit is operated. Medpore sheets are used to support the fracture site. Deformities of the face, reduced eye movement, double vision or sinking of the eye into the orbit can be the consequences of such fractures, which are treated through repair.